Atlas Removable Retainers
Our Atlas Removable Orthodontic Retainers delivers optimal relapse mitigation, featuring a diminutive design well tolerated by all patients. The device can be utilised as a stand alone retainer or in combination with the Infinity Fixed Lingual Retainer.
State of the art, deadly accurate, periodontally ideal, biocompatible removable retainer which comfortable and accepted by all patients. A must for every patient!
The Atlas Removable Retainer is virtually indestructible!
EOCA Lab provides a 20 year warranty against any fractures.
Why choose Atlas?
The Atlas Removable Retainer is designed for accuracy of fit, long term durability and unrelenting dimensional integrity to minimise anterior tooth movement and to maintain arch width.
Material Choices
There are 2 choices of materials for the Infinity, these are Cobalt Chromium (Co-Cr) and Titanium (plus a choice of 6 colours).
These alloys are well-known for their biocompatibility. Titanium, in particular, forms a stable oxide layer that enhances its resistance to corrosion and reduces the risk of adverse biological reactions.
These metals have been extensively studied and have demonstrated less likelihood of causing allergic or inflammatory responses in the human body, making them suitable for long-term use in dental applications.
Design Choices
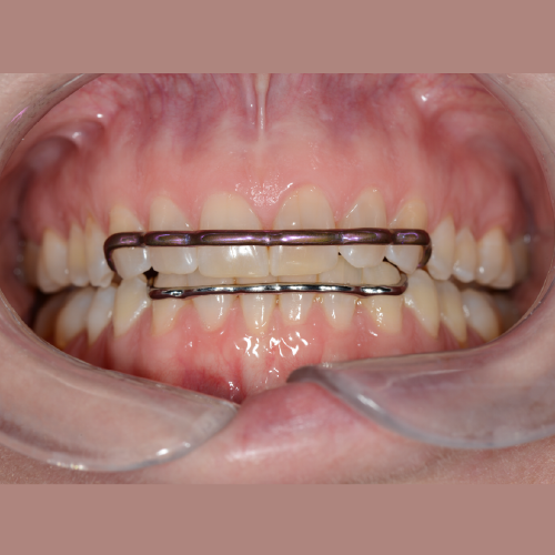
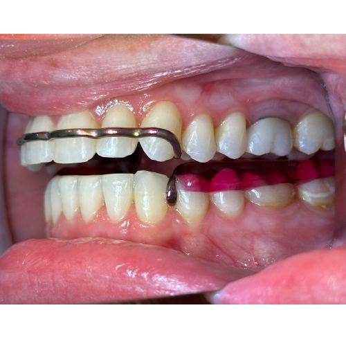
A unique combination of customised lingual or palatal plates, in tandem with a labial bow ensures that teeth remain in their post-treatment position.
Mandibular
- Atlas Removable Retainer – Standard design features a labial bow and lingual plate.
- Atlas Removable Retainer – TMO design features a labial bow and lingual plate.
- Atlas Removable Retainer – TMD design features a labial bow, lingual plate & occlusal pads (transparent).
Maxillary
- Atlas Removable Retainer – Standard 1 design features a labial bow & palatal plate
- Atlas Removable Retainer – Standard 2 design features a labial bow, palatal plate, palatal strap
- Atlas Removable Retainer – TMO 1 features a labial bow & palatal plate
- Atlas Removable Retainer – TMO 2 features a labial bow, palatal plate, palatal strap
The Atlas Removable Retainer TMO is an iteration that features the innovative “Tooth Movement Optimisation” algorithm which is a breakthrough in individual tooth relapse mitigation.
The TMO option is ideal for patients who have had more complex movements and teeth with a higher propensity to relapse (particularly rotation and arch expansion).
By utilising the figures from the tooth movement table, our algorithm designs the morphology of each retentive element to offset relapse force vectors.












- Mandibular Standard 1 design features a labial bow & palatal plate
- Maxillary Standard 1 design features a labial bow and lingual plate.
- Maxillary Standard 2 design features a labial bow, palatal plate, palatal strap.

Atlas Removable Retainer - TMO

- Mandibular TMO design features a labial bow and lingual plate.
- Maxillary TMO 1 features a labial bow & palatal plate.
- Maxillary TMO 2 features a labial bow, palatal plate, palatal strap.

Atlas Removable Retainer - TMD






- Mandibular TMD design features a labial bow, lingual plate & occlusal pads (transparent).
Manufacturing Process
Our Infinity retainers are manufactured by Selective Laser Melting (SLM), an additive manufacturing technology that uses a high-power laser to fully melt and fuse metallic powders into dense, functional components.
SLM produces near-fully dense parts (≥99.9%) with mechanical properties comparable to wrought materials, making it a preferred method for aerospace, medical, and tooling industries.
This technology’s ability to create complex geometries with high accuracy that eliminates any design constraints imposed by traditional subtractive or formative methods, makes it the perfect choice for custom fixed and removable retainers.
