Hercules Clear Retainers
Retention
Orthodontic Retention is a crucial step in any orthodontic treatment, given relapse can occur very quickly if retention is not managed carefully
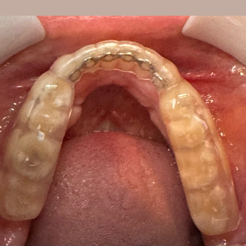
The Hercules clear removable retainer significantly reduces the chances of orthodontic relapse. The device is highly durable, providing long-lasting wear resistance and protection against tooth movement. The material is exceptionally clear, ensuring a discreet appearance when worn. This is especially appealing for patients seeking an invisible retainer.
Designed and thermoformed for ease and comfort at 1.0mm or 1.3mm thickness, the material ensures a snug fit, reducing discomfort typically associated with retainer wear and minimising the chances for relapse. The device provides sufficient rigidity to offset relapse forces and making it less prone to breaking or cracking under stress.
There’s also no lingering plastic taste or smell, increasing user compliance for regular wear and it resists discoloration over time, maintaining its transparency and preventing unsightly staining.
Designed to work in tandem with Munchies Maintain, to fully seat the retainer at insertion and to provide correction of minor relapse when detected early. Hercules can be fabricated to cater for fixed lingual retainers, with full coverage or being trimmed short of the wires or bars.
Available individually or in sets of 2 or 3.
- Indications: Cosmetic appeal, short-term post-treatment retention.
- Contraindications: Patients with bruxism due to wear.
- Advantages: Aesthetic, easy to produce, low cost.
- Disadvantages: Can crack, discolour over time, can cause speech discomfort.
- Failure Rate: Higher in comparison to Hawley, especially with regular wear.
- Life span: Should be replaced after 3 months
A unique combination of xxx ensures that teeth remain in their post-treatment position.
Mandibular
- Hercules Clear Retainer – Standard xxx.
- Hercules Clear Retainer – TMO xxx,
- Hercules Clear Retainer – TMD xxx & occlusal pads (transparent).
Maxillary
- Hercules Clear Retainer – Standard 1 design features xx
- Hercules Clear Retainer – TMO 1 features xx
The Hercules Clear Retainer TMO is an iteration that features the innovative “Tooth Movement Optimisation” algorithm which is a breakthrough in individual tooth relapse mitigation.
The TMO option is ideal for patients who have had more complex movements and teeth with a higher propensity to relapse (particularly rotation and arch expansion).
By utilising the figures from the tooth movement table, our algorithm designs the morphology of each retentive element to offset relapse force vectors.


- Mandibular Standard 1 design features a xxx
- Maxillary Standard 1 design features a xx.
- Maxillary Standard 2 design features xx.

Hercules Clear Retainers - TMO

- Mandibular TMO design features a xxx.
- Maxillary TMO 1 features a xxx.
- Maxillary TMO 2 features a xxx.

Hercules Clear Retainers - TMD





- Mandibular TMD design features a xxx(transparent).
